Stay Current in Your Practice With Journals Delivered Right to Your Door.

Inside ASRT Journals
  • Aortic Dissection

    By Heidi Larson, R.T.(R)(CT)

    The aorta, the largest artery in the body, carries blood away from the heart through the chest and abdominal cavities. Because of the aorta’s vital role in the body, problems that affect the artery, such as an aortic dissection, can be catastrophic. An aortic dissection occurs when the inner lining of the aorta tears, causing blood to pool between the inner and middle linings of the vessel. If blood pools between the linings for an extended period, it has the potential to widen the aorta. Dissections occur more often in the thoracic aorta but have been known to occur in the abdominal aorta as well.1 Incidences of aortic dissection range from 5 to 30 cases per million people each year.1Aortic dissections also can cause aneurysms, which might complicate treatment further.

    Case Description

    A 45-year-old man presented to the emergency department and reported that he started feeling odd at work earlier that day. He described a feeling that his heart was going to come out of his chest, as well as some chest pressure. He also had taken his blood pressure at work at reported that it was high. His co-workers encouraged him to go to the hospital immediately.

    As the patient signed in, the registrar noticed he was sweating profusely, and she reported it to medical staff. The attending physician ordered routine blood work, which included a cardiac panel and a D-dimer test, as well as a computed tomography (CT) angiogram to rule out a pulmonary embolism (PE). The results of the D-dimer test were abnormally high (1500 mg/mL). The CT scan demonstrated a type A aortic dissection that began in the aortic root and extended into the aortic branch. The dissection continued into the descending aorta along the vertebrae. The patient was immediately transferred to another facility to undergo a heart operation.

    Classification Systems

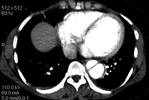
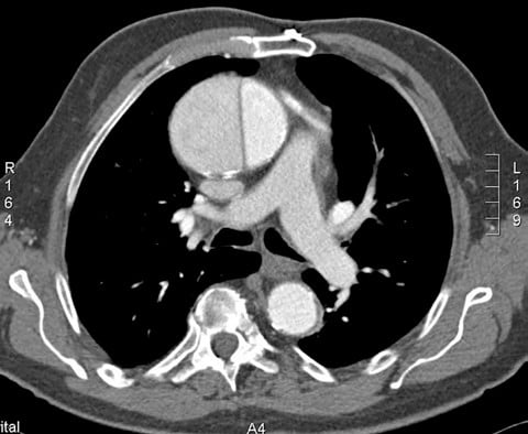
    Aortic dissections can be classified using 2 systems: Stanford and DeBakey. The Stanford classification system categorizes dissections according to whether they require surgical repair (type A) or can be managed using medications to control blood pressure (type B).1 Type A dissections affect the ascending aorta, whereas type B dissections do not (see Figures 1 and 2).2 The DeBakey system also categorizes dissections by required medical intervention; however, this classification system details the process, or origination, of the dissection and is divided into types I, II, and III. Type I dissections originate in the ascending aorta, likely continue through the aortic arch, and often involve the descending aorta or even the entire aorta.2 Type II dissections affect only the ascending aorta, while type III dissections solely affect the descending aorta (see Box ).2 The most common aortic dissections occur in the descending aorta.3

    Aortic dissections are categorized not only by location, but also by the time of onset. Acute onset is the 14-day period after onset has been designated because morbidity and mortality rates are highest and surviving patients typically stabilize during this time.4 The sooner a patient’s condition can be diagnosed and treated, the better his or her chances of survival.



    Figure 1. Computed Tomography (CT) scan showing an axial view of a Stanford type A aortic dissection. Reprinted with permission from A.Prof Frank Gaillard (Radiopaedia.org, rID: 8886) under the creative commons attribution-noncommercial-share alike 3.0 unported license.




    Figure 2. CT scan showing an axial view of a Stanford type B aortic dissection. Reprinted with permission from Dr Avni K P Skandhan (Radiopaedia.org, rID: 25409) under the creative commons attribution-noncommercial-share alike 3.0 unported license.
    Box

    Aortic Dissection Classification Types

    Stanford
    A-involves ascending aorta
    B-involves descending aorta

    DeBakey
    I- involves entire aorta
    II- involves ascending aorta
    III-involves descending aorta

    Clinical Presentation and Causes

    Patients who have an aortic dissection usually present with an unexplainable and sudden onset of severe pain in the chest or abdomen. In some cases, the initial pain disappears for hours, or even days, but always returns. This returning pain typically indicates an impending rupture.3,4 Many diseases or conditions can cause the lining of the aorta to become thinner and, therefore, more susceptible to dissection, but the most common cause is chronic hypertension. Other causes include2-4:

    • Marfan syndrome.
    • Ehlers-Danlos syndrome.
    • Familial forms of thoracic aneurysm and dissection.
    • Trauma induced during arterial cannulation.
    • Cocaine or other drug use.
    • Pregnancy.

    National statistics show that men have higher rates of aortic dissections than do women, although the mortality rate in women is higher. Aortic dissections tend to occur in men before age 50 years and decrease with the patient’s age, whereas dissections tend to occur in women after age 75 years.5 Women also have a higher surgical mortality despite similar delay, surgical technique, and hemodynamics.5

    Assessment Using Medical Imaging

    The best method for diagnosing aortic dissection is noninvasive imaging. Modalities of choice include transthoracic (TTE) and transesophageal (TEE) echocardiography, spiral CT, and magnetic resonance (MR) imaging; in emergency situations, the gold standard is CT because it provides quick results and is widely available. TTE and TEE are more commonly used for extensive evaluation of aortic disease and chronic cases; however, TEE is unable to evaluate the infradiaphragmatic aorta, and TTE is problematic because of poor acoustic access in patients who are ill, on ventilators, or unable to sit still.6 CT and MR angiography are replacing conventional angiography and digital subtraction angiography because of improvements in technology that provide better diagnostic images. Although MR is the most effective modality for evaluating chronic aortic disease and monitoring aortic dissections, drawbacks include the time it takes to perform the study and availability of equipment. CT is useful for predicting the presence of aortic rupture and might help to determine whether a patient requires further evaluation by aortography.6 However, some patients are allergic to CT contrast agents, and patient motion can produce image artifacts.

    Treatments

    Type A dissections require immediate surgical intervention after diagnosis to attempt to avert the high risk of death from complications including cardiac tamponade, aortic regurgitation, and myocardial infarctions.7 The preferred method of treatment for type B dissections is medication therapy. Although surgery is a treatment option for both types of dissections, the mortality rate can be as high as 29% to 35%.7

    Conclusion

    Patients who have aortic dissections might not recognize the serious nature of their condition. The patient in this case, for example, asked medical staff whether he would be able to return to work the day following his diagnosis. Although the outcome of the patient’s case is unknown, it is known that if aortic dissections are diagnosed within 14 hours of onset, the patient has a higher chance of survival. After a patient presents with symptoms of aortic dissection, appropriate testing and imaging can lead to life-saving medical interventions.


    Heidi Larson, R.T.(R)(CT), has worked as a radiographer for 11 years and a CT technologist for 7 years. She works for a large hospital in Greeley, Colorado.

    References

    1. D’Souza D. Stanford classification of aortic dissection. Radiopaedia website. https://radiopaedia.org/articles/stan ford-classification-of-aortic-dissection-1. Accessed August 17, 2017.
    2. Nienaber CA, Eagle KA. Aortic dissection: new frontiers in diagnosis and management: part I: from etiology to diagnostic strategies. Circulation. 2003;108(5):628-635. doi:10.1161/01.CIR.0000087009.16755.E4.
    3. Khan IA, Nair CK. Clinical, diagnostic, and management perspectives of aortic dissection. Chest. 2002;122(1):311328. doi:10.1378/chest.122.1.311.
    4. Hagan PG, Nienaber CA, Isselbacher EM, et al. The International Registry of Acute Aortic Dissection (IRAD): new insights into an old disease. JAMA. 2000;283(7):897903. doi:10.1001/jama.283.7.897.
    5. Nienaber CA, Fattori R, Mehta RH, et al; International Registry of Acute Aortic Dissection. Gender-related differences in acute aortic dissection. Circulation. 2004;109(24):3014-3021. doi:10.1161/01.CIR.0000 130644.78677.2C.
    6. Hartnell GG. Imaging of aortic aneurysms and dissection: CT and MRI. J Thorac Imaging. 2001;16(1):35-46. doi:10.1097/00005382-200101000-00006.
    7. Dake MD, Kato N, Mitchell RS, et al. Endovascular stentgraft placement for the treatment of acute aortic dissection. N Engl J Med. 1999;340(20):1546-1552. doi:10.1056 /NEJM199905203402004.

Want Access to More Content Like This?

Join today and receive six issues of our award-winning journal, Radiologic Technology, including special editions published just for CT technologists. You'll also receive six issues of our news magazine, ASRT Scanner, delivered to your mailbox.


Members get immediate access to 15 CE credits from our library of Directed Reading articles when they choose the Directed Reading Flex Plan™.