Prepare for clinical practice, meet your Continuing Qualifications Requirements (CQR) needs, or just brush up on basic skills with this complete and detailed guide for every common radiography examination. These modules cover patient care, examination preparation, positioning, technical factors, anatomy of interest and image quality criteria. Each examination is explained in detail and demonstrated in images featuring real equipment in real clinical environments. Format: online modules.
This module will help you achieve optimal images for pediatric and geriatric patients, including information on patient preparation, communication, and modified technical factors. Also included is specific advice for scoliosis series projections and examinations of the upper airway.
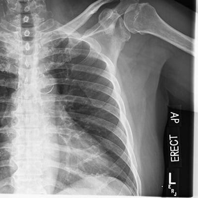
This module will help you achieve optimal images of the ribs, sternum, clavicle, and acromioclavicular joints. Patient positioning, technical settings, and patient instructions are discussed. Descriptions and images of the expected anatomical structures are included, as well as image evaluation criteria.
This module will help you achieve optimal images of the chest and abdomen, including AP and lateral decubitus chest examinations, and supine, upright, and decubitus abdomen examinations are also covered. Patient positioning, technical settings, and patient instructions are discussed. Descriptions and images of the expected anatomical structures are included, as well as image evaluation criteria.
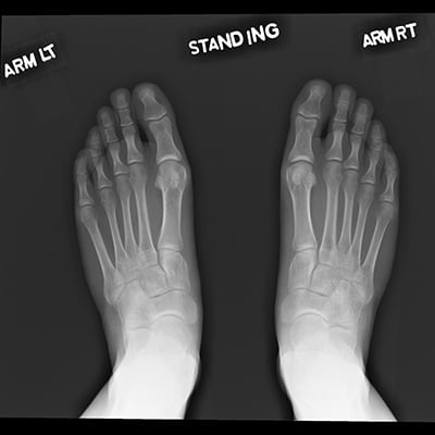
This module will help you achieve optimal images of the toes, foot, ankle, and calcaneus. Patient positioning, technical settings, and patient instructions are discussed. Descriptions and images of the expected anatomical structures are included, as well as image evaluation criteria.
This module will help you achieve optimal images of the thumb and fingers, hand, wrist, and forearm. Patient positioning, technical settings, and patient instructions are discussed. Descriptions and images of the expected anatomical structures are included, as well as image evaluation criteria.
This module will help you perform ERCP exams, as well as standard C-arm procedures and surgical C-arm procedures. Equipment and supplies are discussed, as well as patient preparation, positioning techniques, and technical settings. Personal and equipment protection are covered, as are major anatomical structures seen in these examinations.
This module will help you perform myelography, arthrography, and intravenous urography, as well as cystography and cystourethrography. Indications, contraindications, and complications are discussed. Pre-procedure prep and assessment are covered, as are radiation protection and technical factors. Equipment and contrast materials are listed. The module also includes step-by-step instructions for performing these examinations, as well as post-procedure care and instructions.
This module will help you perform upper GI series, barium enema, small bowel series, and esophagus examinations. Patient preparation and positioning are discussed, as well as technical factors and patient instructions. Descriptions and images of the expected anatomical structures are included, as well as image evaluation criteria.
This module will help you achieve optimal images when performing mobile chest, abdomen, and orthopedic examinations. Patient preparation and assessment are discussed, as well as radiation protection, infection control, and technical settings. Patient positioning instructions and image evaluation criteria are also included.
This module will help you achieve optimal images when performing pelvis, hip, cross-table hip, sacrum and coccyx, and SI joint examinations. Patient preparation and positioning are discussed, as well as technical settings and patient instructions. Descriptions and images of the expected anatomical structures are included, as well as image evaluation criteria.
This module will help you achieve optimal images when performing tibia and fibula, knee, patella, and femur examinations. Patient preparation and positioning are discussed, as well as technical settings and patient instructions. Descriptions and images of the expected anatomical structures are included, as well as image evaluation criteria.
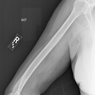
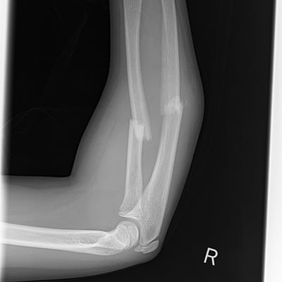
This module will help you achieve optimal images when performing elbow, humerus, shoulder, and scapula examinations. Patient preparation and positioning are discussed, as well as technical settings and patient instructions. Descriptions and images of the expected anatomical structures are included, as well as image evaluation criteria.
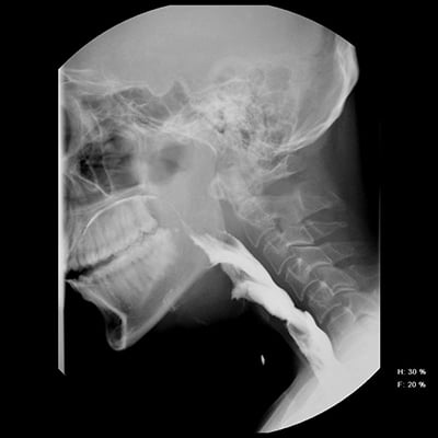
This module will help you achieve optimal images when performing examinations of the paranasal sinuses, zygomatic arches, mandible, and temporomandibular joints. Patient preparation and positioning are discussed, as well as technical settings and patient instructions. Descriptions and images of the expected anatomical structures are included, as well as image evaluation criteria.
This module will help you achieve optimal images when performing examinations of the skull, facial bones, orbits, and nasal bones. Patient preparation and positioning are discussed, as well as technical settings and patient instructions. Descriptions and images of the expected anatomical structures are included, as well as image evaluation criteria.
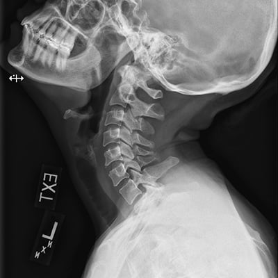
This module will help you achieve optimal images when performing cervical, thoracic, and lumbar spine examinations. Patient preparation and positioning are discussed, as well as technical settings and patient instructions. Descriptions and images of the expected anatomical structures are included, as well as image evaluation criteria.
This module will help you achieve optimal images when performing trauma examinations of the shoulder, upper extremities, lower extremities, and cross-table lateral spine. Patient preparation and positioning are discussed, as well as technical settings and patient instructions. Descriptions and images of the expected anatomical structures are included, as well as image evaluation criteria.
Advertising
Great for preparing students for clinical practice and refreshing experienced technologists for Continuing Qualifications Requirements (CQR), this extensive series provides step-by-step guidance through every common radiography exam. Each module includes detailed information about patient care, exam prep, positioning, technical factors, anatomy of interest, and image quality criteria. Each exam is covered in detail and demonstrated with real equipment and real clinical images.
Present this series to your students by uploading the modules to a learning management system or displaying them on a computer with any popular web browser.
This version of the Radiography Positioning Guide is designed specifically for educators. The content is divided into 64 10- to 30-minute modules that cover patient care, examination preparation, positioning, technical factors, anatomy of interest and image quality criteria. All examinations are demonstrated in images featuring real equipment in real clinical environments.
Become an ASRT member and receive access to 17 CE credits each membership year. Choose from more than 575 CE courses in a variety of topics. Earn CE to fulfill biennium, CQR prescription, state and regulatory requirements.